Un equipo internacional liderado por el Instituto ITACA de la Universitat Politècnica de València (UPV) ha desarrollado uno de los atlas estructurales del cerebro humano más completos y detallados hasta la fecha. Llamado HoliAtlas, será especialmente útil para el estudio y diagnóstico temprano de enfermedades neurológicas y neurodegenerativas, como Alzheimer o Parkinson.
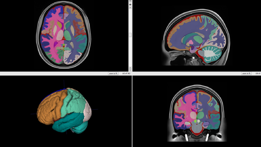
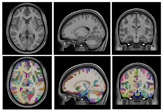
El nuevo mapa está basado en imágenes de resonancia magnética (MRI) multimodales de ultra-alta resolución y supera ampliamente el nivel de detalle de los atlas existentes basados en imágenes de resonancia magnética.
El trabajo, publicado en la revista Scientific Reports (Nature), ha sido liderado por el profesor José V. Manjón, coordinador del grupo MIALAB de ITACA-UPV, en colaboración con instituciones internacionales como el CNRS y la Universidad de Burdeos, así como con centros españoles y europeos.
Diagnósticos y tratamientos más personalizados
«HoliAtlas ofrece una representación completa y multinivel del cerebro, desde estructuras globales hasta subestructuras muy específicas, de forma holística. Su resolución y su integración multimodal facilitan la identificación de estructuras profundas y permiten desarrollar métodos de segmentación automática más precisos, mejorar el análisis morfológico y detectar cambios anatómicos muy sutiles.
“Por ello, este atlas podrá ser de gran ayuda para estudiar patologías el Alzheimer o el Parkinson y facilitar un diagnóstico más preciso. Disponer de atlas cerebrales cada vez más precisos es clave para comprender la arquitectura del cerebro humano, integrar datos de distintos estudios y avanzar hacia diagnósticos y tratamientos más personalizados”, explica José Vicente Manjón, responsable del grupo MIA-LAB de ITACA-UPV.


Un salto en resolución y detalle anatómico
Los atlas cerebrales funcionan como mapas de referencia, esenciales para localizar estructuras anatómicas con precisión y comparar datos entre estudios o poblaciones. Además, son herramientas clave tanto en la investigación neurocientífica como en aplicaciones clínicas, como la planificación de cirugías o el análisis de enfermedades neurológicas.
“Hasta ahora, la mayoría de los atlas basados en MRI tenían una resolución aproximada de 1 mm3. El nuevo atlas desarrollado alcanza una resolución de 0,125 mm³, lo que permite observar estructuras cerebrales mucho más pequeñas y complejas”, señala Sergio Morell, investigador del grupo MIA-LAB de ITACA y coautor del estudio.
Basado en datos de 75 cerebros sanos
Para construir este atlas, los investigadores utilizaron imágenes cerebrales de 75 voluntarios sanos provenientes del prestigioso Human Connectome Project, uno de los mayores repositorios internacionales de datos de neuroimagen. A partir de estos datos, aplicaron técnicas avanzadas de procesamiento y normalización para generar un modelo promedio del cerebro.
“En su nivel más detallado, el atlas incluye hasta 350 regiones anatómicas obtenidas mediante la integración de siete protocolos de segmentación diferentes, combinando herramientas de análisis neuroanatómico, algoritmos de inteligencia artificial y correcciones manuales de expertos”, concluye Sergio Morell.




